Achsenfehlstellung – X- und O-Beine

Achsenfehlstellungen sind Abweichungen von einer normalen, gesunden und mechanisch günstigen Gelenkachse. Hierzu zählen Fehlstellungen der Beine, wie sogenannte O-Beine und X-Beine. Achsenfehlstellungen führen zu Überbelastung und einem frühzeitigen Verschleiß von Gelenken.

Achs-Korrektur Operateur Dr. Thomas Wieland
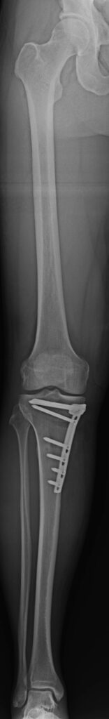
Varus-Fehlstellung (O-Bein)

Symptome und Ursache von Achsenfehlstellungen

Fehlstellungen der Gelenkachse können sowohl angeboren sein, als auch durch Verletzungen oder Krankheiten entstehen. Zu den Ursachen von Achsenfehlstellungen zählen beispielsweise schlecht verheilte Knochenbrüche, Gelenksentzündungen und Rachitis. Sowohl X-Bein- als auch O-Bein-Fehlstellungen führen in weitere Folge zu sekundär degenerativen Schäden, wie Meniskusschäden oder einseitige Knorpelschäden, welche von Knieschmerzen begleitet werden. Achsenfehlstellungen, wie O-Bein- und X-Bein-Fehlstellungen, gelten erwiesenermaßen als „präarthrotische Deformität“, das heißt, dass diese in weiterer Folge zu Abnutzungserscheinungen, wie Arthrose führen und deshalb dringend korrigiert werden sollten.

Diagnose und Therapie von Achsenfehlstellungen

Um Achsenfehlstellungen, wie O-Bein- und X-Bein-Fehlstellungen, welche zu einer Fehlstellung des Knies führen, zu diagnostizieren, müssen primär klinische Untersuchungen erfolgen: die Untersuchung des Gangbildes, des Bewegungsumfangs und der Beinachse sowie Tests rund um den Meniskus. Nach der klinischen Untersuchung können technische Untersuchungen erfolgen: Achsenfehlstellungen der Beine werden mithilfe eines MRT diagnostiziert. Des Weiteren können Ganzbeinaufnahmen im Stehen und Röntgen des Kniegelenks in zwei Ebenen Aufschluss über das Ausmaß der Fehlstellung liefern. Ergänzend wird in manchen Fällen eine präoperative Arthroskopie durchgeführt.

Um eine Achsenfehlstellung der Beine zu korrigieren, muss zumeist ein kleiner Eingriff vorgenommen werden. Dieser Eingriff kann im Rahmen eines 3-tägigen Spitalsaufenthalts durchgeführt werden und zieht meist nur eine Spinalanästhesie oder eine Larynxmaskennarkose nach sich. Liegen spezielle Fragestellungen in Bezug auf Ihre Fehlstellung vor, ziehe ich bei manchen Eingriffen ein Navigationssystem hinzu, damit die Achsenverhältnisse Ihrer Beine weiter optimiert werden können.